logo

Ողի ախտահարումից ասեղային տրեպան բիոպսիա ՝ՀՇ ուղղորդմամբ

Բուժառուն՝ արական սեռի, 65 տարեկան

Գանգատներ

Ընդհանուր թուլություն, սուր ցավեր մեջքի շրջանում, որոնք ճառագայթում են դեպի ձախ ստորին վերջույթ, հազ, դժվարաշնչություն:

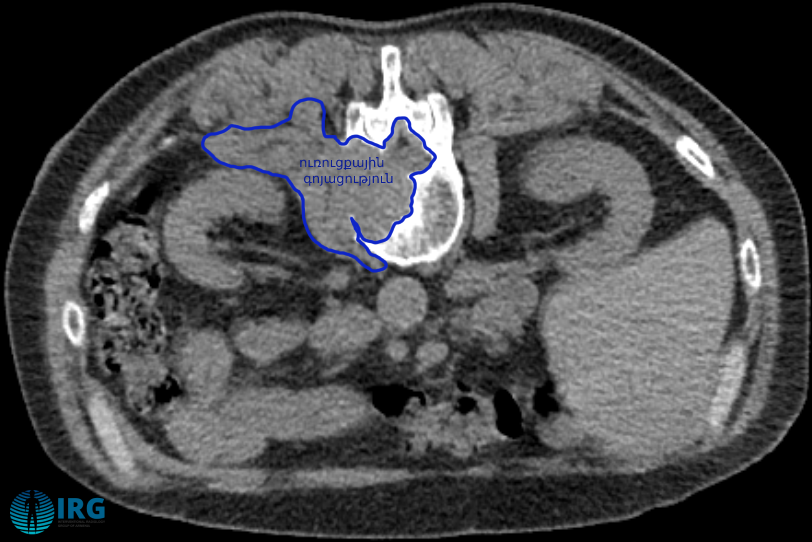
Անամնեզում բուժառուն նշում է վերոհիշյալ գանգատները մոտ 4 ամիս։ Վերջիններիս կապակցությամբ բուժառուն դիմել է բժշկի, ամբուլատոր կարգով հետազոտվել է։ Կատարվել է ՀՇ քննություն, ըստ որի  նկարագրվել է ոսկրերի դեստրուկցիայի պատկեր՝ հավանական երկրորդային բնույթի։

ՀՇ պատկերը միջամտությունից առաջ

Ախտորոշման պլան

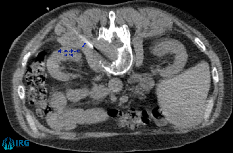
Բուժառուն զննվել է ուռուցքաբանի և ինտերվենցիոն ռադիոլոգի կողմից և ախտահարման բնույթը պարզելու նպատակով որոշվել է կատարել ասեղային տրեպան բիոպսիա՝ ՀՇ ուղղորդմամբ, տեղային անզգայացման պայմաններում։

ՀՇ պատկերները միջամտության ընթացքում

 

Միջամտությունից անմիջապես հետո կատարվել է ՀՇ քննություն՝ հետմիջամտական բարդությունները հերքելու նպատակով։ 2 ժամ անց բուժառուն դուրս է գրվել կլինիկայից բավարար վիճակում, գանգատներ չի նշել։

Հյուսվածաբանական եզրակացություն

Հետազոտվող նյութի սահմաններում հյուսվածաբանական պատկերը և իմունոֆենոտիպը համապատասխանում են պլազմացիտոմային: